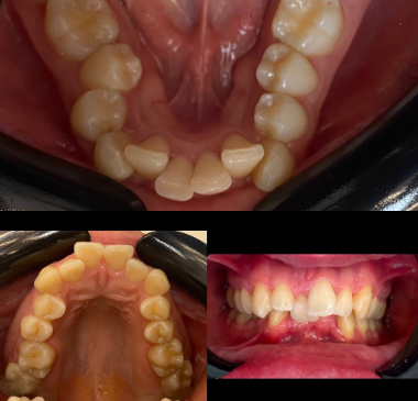
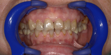
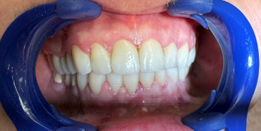
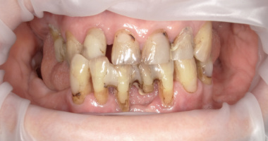
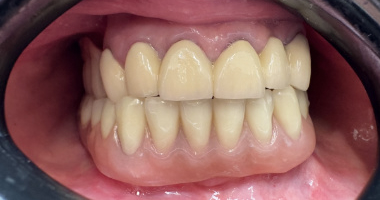
Poniżej przedstawiamy efekty leczenia protetycznego w naszej klinice:
Przed
Po












Poniżej przedstawiamy efekty wybielania zębów w naszej klinice:
Przed
Po




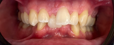
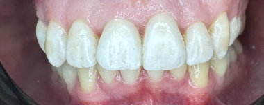
Poniżej przedstawiamy efekty leczenia ortodontycznego w naszej klinice:
Przed
Po










Poniżej przedstawiamy przykłady licówek wykonanych w naszej klinice:
Przed
Po








Poniżej przedstawiamy przykłady koron cyrkonowych wykonanych w naszej klinice:
Przed
Po




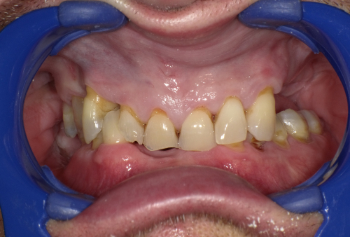
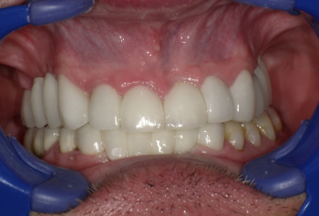
Poniżej przedstawiamy przykład koron porcelanowych oraz protezy szkieletowej z zasuwami w górnym łuku oraz protezy teleskopowej w dolnym łuku wykonanych w naszej klinice:
Przed
Po


Poniżej przedstawiamy uzupełnienie braku zęba koroną na implancie wykonanych w naszej klinice:
Przed
Po


